Loading...
Loading...
Loading...
Opening Hours: Monday - Thursday: 9:00AM - 6:00PM / Friday: 9:00AM - 5:00PM

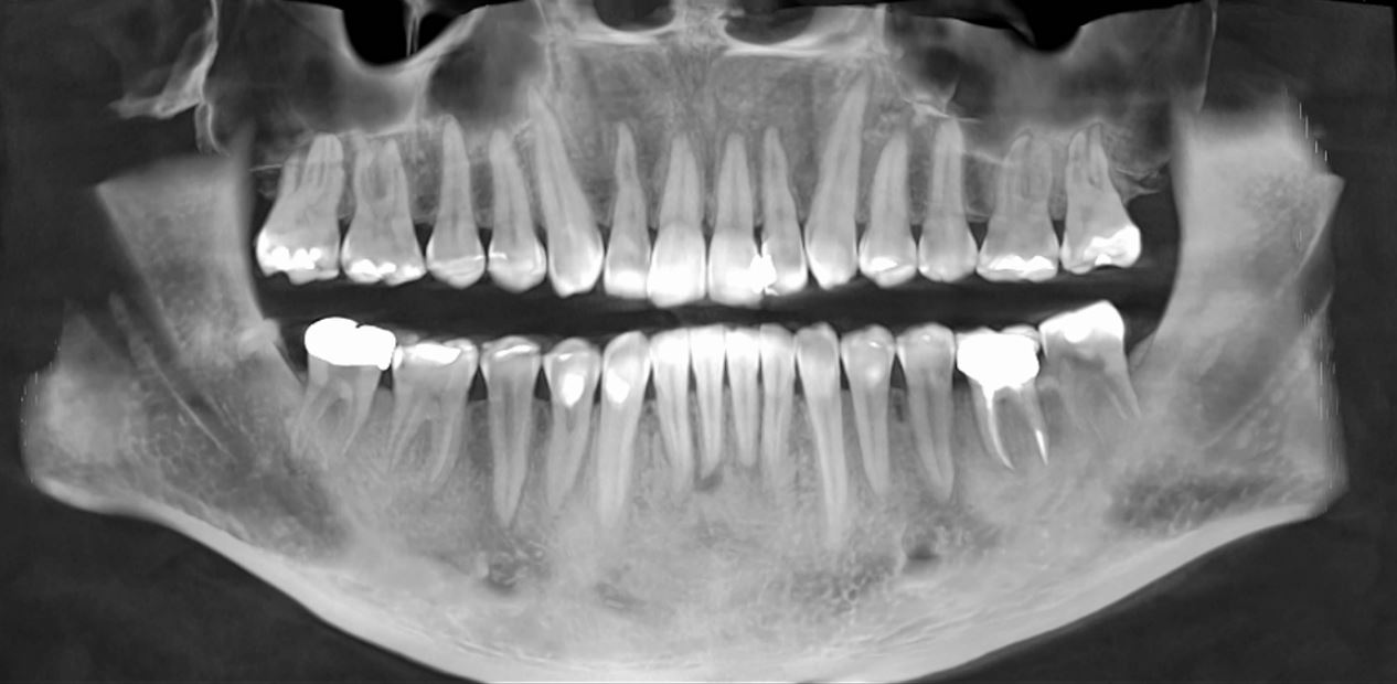
3D Imaging & Digital X-Rays

Advanced Digial X-Rays and 3D Dental Imaging Technology

What is CBCT (3D) Imaging Used For?

3D Imaging can be used in a variety of dental procedures, including:

  • Dental Implant Placement
  • Root Canal Therapy
  • Surgery Planning
  • Examine the Quality of the Bone Tissue
  • Prosthetic Devices
  • Disease Diagnosis
  • Overdenture
  • TMJ Treatment
  • Tooth Extractions

We use the best 3D Cone Beam by Planmeca which provides:

Our Planmeca CBCT imaging unit complies with a multitude of diagnostic requirements and provides volumes sizes for every clinical application

We offer CT Scans for our dental patients or as an imaging center for outside patients

Its equipped with a Movement Correction Algorithm

It has a Dedicated Endodontic Imaging mode

Planmeca Ultra Low Doseā„¢ is the leading and scientifically proven method for acquiring CBCT images at a low patient dose

Our Cone Beam offers a seamless imaging workflow and relaxing patient experience due to its open patient positioning


How long is a 3D Dental Scan?

We have the latest technology in 3D imaging and our Planmeca 3D ProMax Cone Beam only takes 15 seconds to take the image once the patient is in place!


Is 3D Imaging Safe for me?

Our Dental Cone Beam CT machines emits less radiation than any other traditional CT scan & traditional film X-Rays.

The exposure is brief & minimal. Pregnant women should inform the dentist of their situation before getting a 3D X-Ray or X-Rays of any kind.


Digital Dental X-Rays

We use the advanced Nomad Pro 2, a handheld X-Ray Unit by Kavo, which is a leading brand in dental technology!

Images are crisp clean, the patient does not experience the gag feeling like the traditional X-Rays do




Follow Us


Mon - Thu 9:00AM - 6:00PM

Fri - 9:00AM - 5:00PM

Lunch - 1:00PM - 2:00PM

© Denta Care. All Rights Reserved.

Designed by HTML Codex